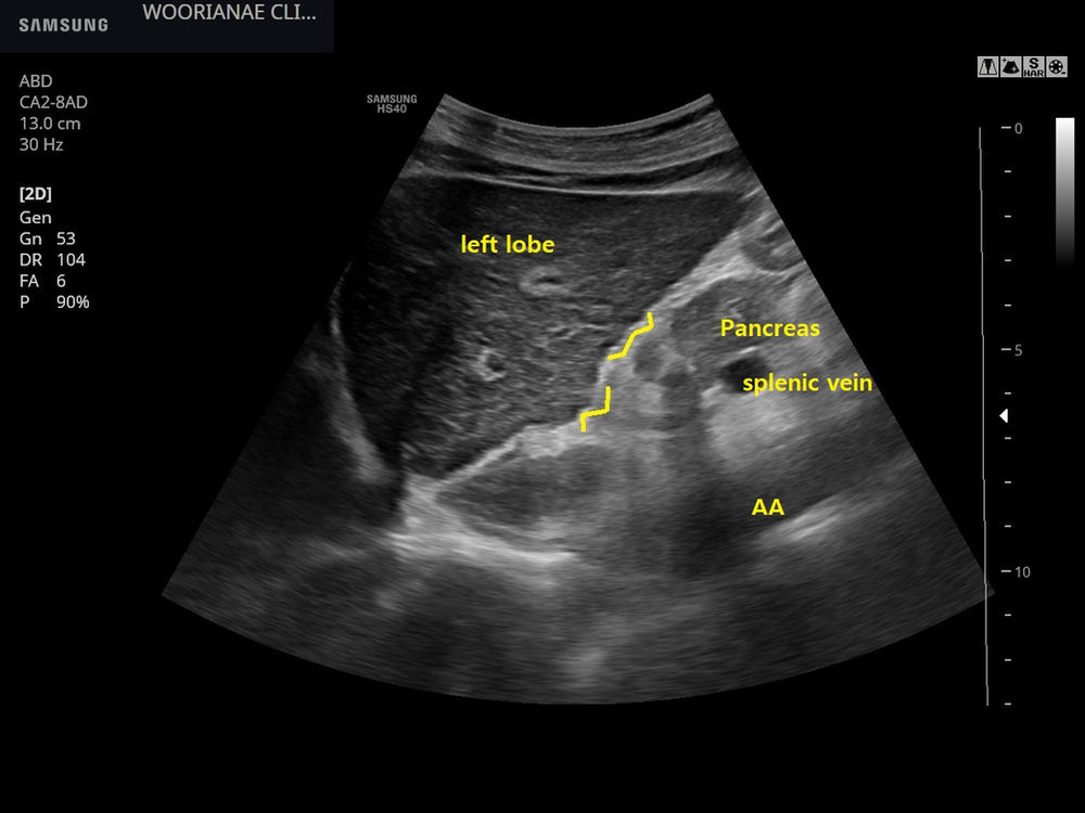
간경화는 간의 구조가 손상되고, 이를 복구하는 과정에서 발생하는 질환으로, 간의 기능이 저하되어 다양한 건강 문제를 일으킬 수 있습니다. 이런 이유로 간 건강을 유지하고 개선하기 위해서는 식단이 특히 중요합니다.



활동적인 간 건강 관리를 위해 어떤 음식들이 좋을지, 구체적으로 10가지 음식을 소개해 드리겠습니다.
1. 신선한 과일 - 간경화에 좋은 음식
신선한 과일은 비타민과 미네랄이 풍부하여 간 건강에 매우 중요합니다. 특히, 베리류는 항산화 물질이 많아 간세포 손상을 예방하는 데 도움이 될 수 있습니다. 블루베리와 라즈베리는 특히 추천드립니다.
이들 과일은 또한 섬유질이 많아 소화에도 도움을 주고, 몸의 독소를 배출하는 데 기여합니다. 과일은 간경화 예방을 위한 좋은 선택입니다.
2. 채소 - 간경화에 좋은 음식
채소는 간의 효소 작용을 도와주는 다양한 영양소를 포함하고 있습니다. 특히, 브로콜리, 시금치, 그리고 물론 양배추는 간 기능 개선에 효과적입니다.
이들 채소는 비타민 C와 K뿐만 아니라 항산화 물질인 글루타티온을 포함하여 간의 해독 기능을 지원합니다. 또한, 섬유질이 풍부하여 변비 예방에도 도움이 됩니다.
3. 올리브 오일 - 간경화에 좋은 음식
건강한 지방으로 알려진 올리브 오일은 간의 지방 축적을 줄이는 데 도움을 줄 수 있습니다. 특히, 엑스트라 버진 올리브 오일은 항산화 성분이 높아 간세포의 건강을 유지하는 데 좋습니다.
간에 부담을 주지 않으면서 좋은 지방을 공급하는데, 이는 심혈관 건강에도 긍정적인 효과를 줍니다. 올리브 오일은 드레싱뿐만 아니라 요리 전반에 활용할 수 있습니다.
4. 견과류 - 간경화에 좋은 음식
호두, 아몬드와 같은 견과류는 영양가가 높고 건강에 좋은 지방이 풍부합니다. 특히, 호두는 오메가-3 지방산이 많이 포함되어 있어 지방 간 질환 예방에 도움을 줍니다.
견과류는 간 건강에 필수적인 영양소를 제공하며, 간경화로 인한 스트레스를 완화하는 데도 유용합니다. 섭취하기 쉽고 언제 어디서나 간식으로 즐길 수 있습니다.






5. 생선 - 간경화에 좋은 음식
특히 기름진 생선, 예를 들면 연어와 고등어는 오메가-3 지방산이 풍부하여 염증을 줄이는 데 효과적입니다. 이러한 생선은 간의 지방 대사를 지원하며 건강한 세포의 유지에 기여합니다.
생선은 단백질 공급원으로 훌륭하며, 가벼운 요리 방법으로 간 건강을 지킬 수 있습니다. 매주 두세 번 섭취하는 것이 좋습니다.






6. 통곡물 - 간경화에 좋은 음식
통곡물은 섬유질이 풍부하고 혈당 수치를 조절하는 데 도움이 됩니다. 귀리, 현미, 그리고 퀴노아 등은 추천할 만한 선택입니다. 이들은 또한 필수 비타민과 미네랄을 제공합니다.
통곡물은 간 건강을 지키는 데 기여하며 소화 건강이 개선됩니다. 식사의 기본 요소로 자주 포함시키는 것이 좋습니다.






7. 홍차와 녹차 - 간경화에 좋은 음식
홍차와 녹차는 항산화 성분이 풍부하여 간 건강에 도움을 줍니다. 특히 녹차의 카테킨 성분은 간세포를 보호하는 데 효과적입니다. 이 음료는 섭취할 때 부담이 없기 때문에 일상에서 쉽게 마실 수 있습니다.
또한, 이들 차는 체내의 염증을 줄이는 데 도움이 되어 간 기능 회복을 지원합니다. 하루에 한두 잔 정도 꾸준히 섭취하는 것이 좋습니다.






8. 달걀 - 간경화에 좋은 음식
단백질이 풍부한 달걀은 간 건강을 위해 매우 중요한 식품입니다. 이들에는 비타민 B군이 포함되어 있어, 간의 효소 작용을 도와줍니다. 특히, 달걀은 소화가 용이하여 부담 없이 섭취할 수 있습니다.
식이요법에 포함시키기 좋으며, 다양한 요리 방법으로 접근할 수 있습니다. 단, 과도한 섭취는 피하는 것이 좋습니다.
9. 마늘 - 간경화에 좋은 음식
마늘은 자연적인 해독제로 알려져 있으며, 알리신 성분이 간 질환 예방에 도움을 줍니다. 마늘을 섭취하면 간의 혈액 순환이 개선되고 독소 배출을 도와줍니다. 이 성분은 미세한 염증을 줄이는 데도 효과적입니다.
마늘을 조리할 때는 생으로 섭취하는 것을 추천합니다. 그 자체로도 요리에 풍미를 더해줍니다.






10. 아보카도 - 간경화에 좋은 음식
아보카도는 건강한 지방이 풍부하여 간의 지질 대사를 조절하는 데 효과적입니다. 이 과일은 비타민 E와 C가 풍부하여 간세포의 손상을 줄이는 데 기여합니다.
아보카도는 샐러드, 스무디, 혹은 토스트에 쉽게 활용할 수 있으며, 영양소가 풍부한 식단의 일환으로 즐길 수 있는 좋은 식품입니다.
이처럼 간경화에 좋은 음식들은 우리의 간 건강을 지키고 개선하는 데 많은 도움을 줄 수 있습니다. 이러한 음식을 꾸준히 섭취하면서 함께 건강한 생활 습관을 유지하신다면, 간 건강을 더욱 향상시킬 수 있을 것입니다. 특별한 식단을 구성하여 건강한 간을 유지하시길 바랍니다.